[심미 치료] 라미네이트, 레진 복합

admin 2026.02.26 18:30 조회 수 : 2

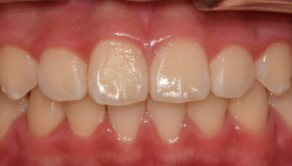
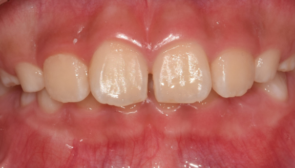
Before & After

Before

image.png

After

image.png