[성장기 교정] 치아 총생

admin 2026.02.26 18:28 조회 수 : 0

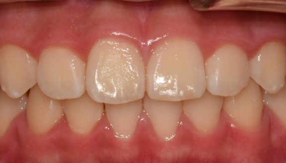
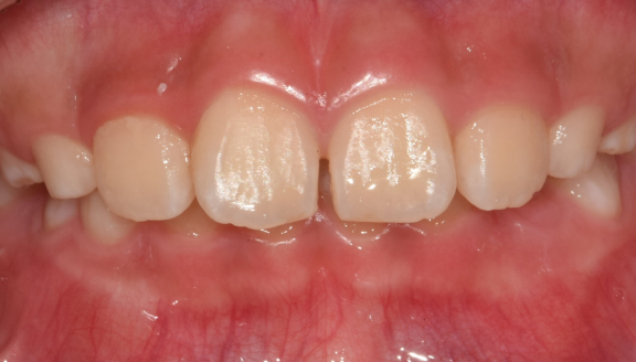
Before & After

Before

image.png

After

image.png