분과별 전문의 협진
늘 초심으로 진료하겠습니다.
아프다고 쉽게 뽑지 않겠습니다.
살릴 수 있다면 끝까지 노력을 다하겠습니다.
그때 그 마음 잊지 않고, 지금도 초심으로 진료하겠습니다.
저희 치과가 환자분에게 도움이 되는 곳이 되길 진심으로 바랍니다.
대표원장 장재원 올림
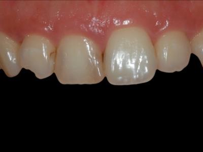
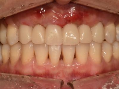
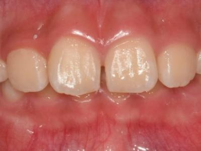
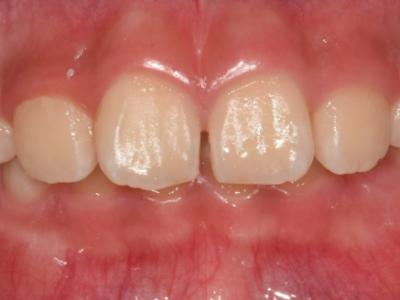
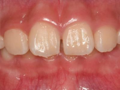
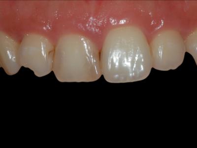
실제 진료 케이스를 확인하세요.
치과 겁쟁이를 위한 치과

디어스에서 새로운 경험으로 바꿔드립니다.
무통마취 시스템과 의료진의 진심 어린 마음으로 모든 과정을 설계합니다.

강동구치과
1.치과 방문이 필요한 신호
치과 증상은 “아프냐/안 아프냐”보다 지속성과 악화 양상을 기준으로 정리하는 경우가 많습니다. 증상만으로 원인을 단정하기는 어렵습니다.
- 통증이 반복되거나 점점 심해짐
- 씹을 때 통증 또는 특정 치아가 높게 닿는 느낌
- 잇몸 출혈·부종·고름·구취 등 염증 신호
- 치아가 깨짐/금이 의심되거나, 갑작스러운 시림 증가
2.초진 문진에서 자주 묻는 것
문진 정보는 원인 추정에 도움이 되는 경우가 많습니다. 특히 “언제부터/무엇이 유발하는지/얼마나 지속되는지”를 정리하는 방식이 자주 쓰입니다.
- 통증 시작 시점과 악화 시점(시간대 포함)
- 유발 자극: 찬 것/뜨거운 것/단 것/씹기/양치
- 자연통(가만히 있어도 욱신)·야간통 여부
- 최근 치료: 충전/크라운/신경치료/임플란트 등
3.치통 양상별 분기(정보형)
치통은 원인이 하나로 고정되지 않습니다. 같은 “아픔”이라도 자극·지속 시간·저작과의 연관성에 따라 평가 포인트가 달라질 수 있습니다.
- 자극 시 시림: 민감도 증가, 잇몸 노출, 초기 우식 등 다양한 가능성
- 씹을 때만 통증: 교합 문제, 보철 적합도, 금(크랙) 등 가능성
- 자연통/야간통: 염증 진행 가능성(검사로 확인)
4.잇몸 출혈·붓기: 관리 흐름
잇몸 출혈은 치태·치석, 염증, 칫솔질 습관 등 요인이 섞일 수 있습니다. 스케일링은 치석 제거를 위한 처치로 안내되는 경우가 많으며(개인차), 상태에 따라 관리 방법이 달라질 수 있습니다.
- 출혈이 특정 부위에만 반복되는지
- 부종·통증·고름 등 동반 증상이 있는지
- 치실 사용 시 출혈이 시간이 지나며 줄어드는지
5.치아 금(크랙)·파절 의심 포인트
딱딱한 음식 이후 “특정 각도에서만” 아프거나, 씹을 때 찌릿한 통증이 반복되면 금(크랙) 가능성을 함께 고려하는 경우가 있습니다. 육안으로 확정이 어려워 검사가 필요할 수 있습니다.
6.신경치료(근관치료) 개요
신경치료는 치아 내부(근관)를 다루는 치료로 설명됩니다. 진행 여부와 횟수는 염증 범위, 근관 형태, 치아 상태, 보철 계획 등에 따라 달라질 수 있어 일반 정보로 단정하기 어렵습니다.
7.보철·임플란트 유지관리 체크
보철·임플란트는 시술 후에도 위생관리와 교합 점검, 잇몸 상태 확인이 함께 다뤄지는 경우가 많습니다.
- 음식물 끼임이 갑자기 늘었는지
- 씹을 때 이물감/높게 닿는 느낌이 지속되는지
- 잇몸 출혈·붓기·통증이 반복되는지
8.발치/사랑니 후 관리(정보형)
발치 후에는 통증·부종 정도가 개인마다 다를 수 있습니다. 일반적으로는 시간이 지나며 완화되는지, 반대로 악화되는지 관찰합니다.
지속 출혈, 부종 급증, 악취/고름, 심한 통증 악화 등이 동반되면 확인이 필요할 수 있습니다.
9.내원 시 확인 질문(정보형)
특정 병·의원을 추천하기보다는, 본인 상태에 맞는 계획을 이해하기 위한 질문을 준비하는 방식이 도움이 될 수 있습니다.
- 현재 증상에서 우선 확인해야 할 원인 범위는 무엇인지
- 검사(구강/영상)로 무엇을 확인하는지
- 치료 옵션별 장단점과 사후 관리 포인트(개인차 전제)
- 추가 치료 가능성(치주 관리/보철 조정 등)과 점검 주기
치과는 아플 때만 가면 되나요?
통증이 없더라도 충치·잇몸 문제는 진행되는 경우가 있어 정기 점검이 도움이 될 수 있다는 안내가 많습니다. 다만 개인 상태에 따라 주기와 필요성은 달라질 수 있습니다.
치실을 쓰면 피가 나는데 계속 써도 되나요?
초기에는 잇몸 염증이나 사용 습관 때문에 출혈이 있을 수 있습니다. 출혈이 지속되거나 통증·부종이 동반되면 평가가 필요할 수 있습니다.
씹을 때만 아픈데 충치인가요?
충치 외에도 교합 문제, 보철 적합도, 치아 금(크랙), 잇몸/치주 상태 등 다양한 가능성이 있습니다. 증상만으로 단정하기 어렵고 검사가 필요할 수 있습니다.
스케일링은 자주 하면 안 좋나요?
스케일링은 치석 제거를 위한 처치로 안내되는 경우가 많습니다. 적정 주기는 잇몸 상태와 치석 형성 정도에 따라 달라질 수 있습니다.
서울시 강동구 양재대로 1625
명일역 사거리 숨결TOWER 3F
월, 목 09:30 - 20:30
화,수,금 09:30 - 18:30
토, 일 09:30 - 14:00
일요일 매주 진료
점심 시간 13:00 - 14:00
[디어스 어린이 치과]
목 14:00 - 18:30
금 09:30 - 18:30
토,일 09:30 - 14:00
일요일 격주 진료
점심 시간 13:00 - 14:00








